—— 护航抗原 / 抗体 / 酶高品质制造
体外诊断(IVD)产业加速迭代,抗原、抗体、酶作为核心原料,其纯度、活性与批间一致性,直接决定试剂的性能表现与成本竞争力。从上游表达收获、中游纯化浓缩,到下游除菌除病毒及终端膜材应用,每一步都依赖稳定、高效、合规的过滤与分离技术。科百特依托全链条膜材料核心技术与工艺导向的解决方案,为诊断试剂原料生产提供从实验室开发到规模化制造的一站式支撑——让原料更纯净、活性更稳定、生产更顺畅。
覆盖诊断原料全流程:科百特核心产品应用
1.澄清过滤:细胞上清 / 发酵液高效除杂
·深层过滤器 高纳污、高通量、低析出,快速去除细胞碎片、聚集体、杂质颗粒,保护下游工艺,提升载量与寿命。
2.超滤浓缩与换液:提升浓度、保持活性
·TFF 超滤膜包 / 中空纤维超滤覆盖宽分子量截留,低剪切、低蛋白吸附,高效浓缩、脱盐、缓冲液置换,适合抗体、重组蛋白、酶类规模化生产。
·超滤离心管小试快速制备,回收率高、操作简便。
真实客户案例:科百特助力 IVD 原料提质增效
案例 1
河北某抗原抗体生产公司:大肠杆菌诱导表达重组抗原
客户痛点:絮凝离心后,蛋白纯度低。不絮凝浊度高,损坏层析柱。
科百特方案:深层滤器澄清

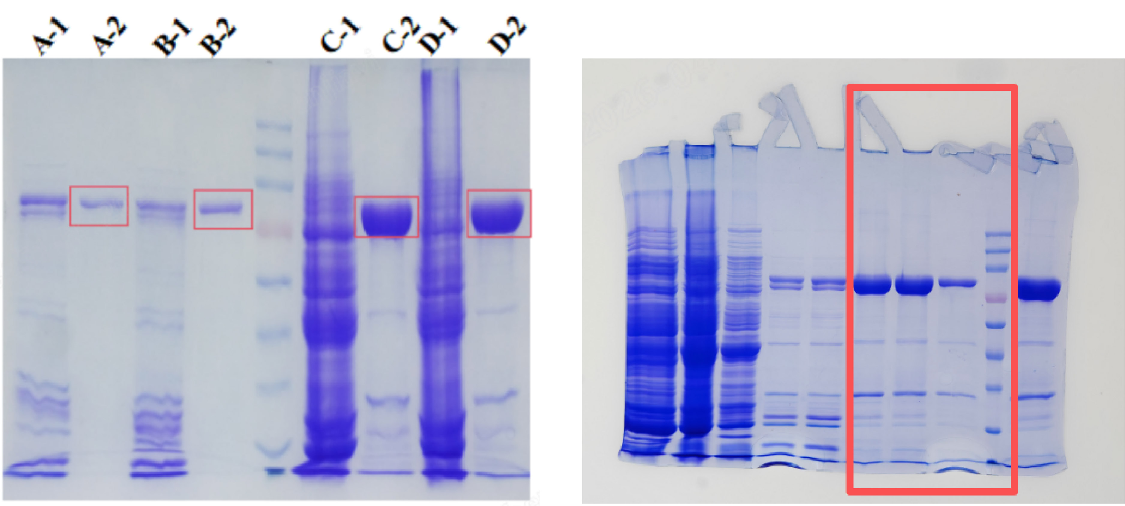
·左图C2所示为科百特深层过滤处理后的样品,右图红框内为絮凝离心处理结果。图像对比表明,深层过滤工艺在提升样品纯度方面具有明显优势。
·测试结果:小试时136mL料液在0.6bar的压力下用时21min完成澄清过滤,浊度由185降至77。经载量计算,2 L料液使用2块270 cm²膜包可在16分钟内完成过滤。在提升澄清效率的同时,还可延长层析柱使用寿命,既节省人工与时间成本,又提高耗材重复使用率。

推荐产品:
科百特 CH-H2RCPC 系列,该系列采用深层过滤与离子交换膜层析技术的创新复合设计,兼具深层介质的杂质截留能力与离子交换膜层析高效的特异性吸附性能。对宿主细胞蛋白(HCP)和残留DNA具有显著的去除效果,可有效提升下游纯化效率与工艺稳健性。其过滤膜组分经过精心配比,包含纤维素、硅藻土、合成树脂、功能化聚丙烯(PP)纤维膜及尼龙等多种材料。
案例 2
北京某抗体蛋白生产公司:抗体纯化
客户痛点:超滤离心管进口品牌价格高,国产品牌回收率低、耐压效果差。
科百特方案:先测试内毒素水平,2个型号超滤管,取内毒低于0.1EU/mL的PBS溶液加入到超滤管中过夜(加满,确保溶液全部接触内壁),取超滤管上液,离心后取超滤管下液各1mL送检内毒。取一个145KD的抗体进行耐压和回收率测试。

· 经测试,抗体回收率>92%且超滤管耐压性能良好,内毒素控制优异,批间差小。

推荐产品:
科百特Briscale™ UF超滤离心管系列产品,推荐产品:科百特BriscaleTM UF超滤离心管系列产品。该产品具有高浓缩倍数、快速浓缩、高回收率及低蛋白吸附等优势。提供多种规格,适配不同型号离心机,用户可根据实验室条件灵活选择。针对不同分子量的蛋白,亦配备相应截留分子量(MWCO)的超滤管,包括:2 kDa、3 kDa、10 kDa、30 kDa、50 kDa、100 kDa 和 300 kDa。此外,科百特依托本土化生产与供应链优势,实现产品质量稳定、交付周期可靠,并在同等性能下价格降低40%,彻底规避进口关税影响,为客户带来更高性价比的选择。
原料强,则 IVD 强
抗原、抗体、酶的生产,每一步都离不开稳定、可靠、高效的过滤与纯化支撑。科百特依托膜材料核心技术,提供覆盖全流程的产品组合、可线性放大的工艺方案与合规交付能力,已助力数十家IVD龙头企业及诊断原料企业实现:更高回收率、更低生产成本、更小批间差异、稳健的工艺放大。
科百特——做诊断试剂原料生产最可靠的“硬核支撑”。